Отбеливание системой OPALESCENCE американской фирмы Ultradent – лидера на рынке отбеливающих систем. Эта уникальная система содержит формулу PF, которая предотвращает возникновение кариеса и уменьшает чувствительность зубов. Процедура отбеливания зубов начинается с короткой подготовки – изоляции губ и дёсен, чтобы остались открытыми только зубы. Затем врач наносит специальный гель, для активации которого не нужно использовать дополнительное воздействие светом или теплом, что обычно создаёт определенные неудобства пациенту. Эта технология отбеливания является клинически апробированной, безопасной для зубов и эффективной. Зубы становятся белее в среднем на 8 оттенков. После процедуры отбеливания зубы покрываются гелем, который так же укрепляет эмаль.


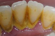
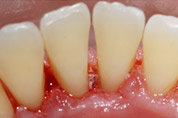
Процесс состоит из нескольких этапов: 1) удаление зубного камня ультразвуковым аппаратом 2) удаление мягкого зубного налёта и пигментации в труднодоступных местах с помощью порошка Air-flow 3) тщательная полировка всех зубов 4) питание зубов микроэлементами с помощью специального геля 5) подробная консультация по гигиене полости рта.


Результат применения Opalescence Boost сохраняется до 1 года. (при соблюдении гигиены, ограничении приема в пищу красящих продуктов и применения поддерживающих процедур).
Да, c помощью Опалесценс Буст можно отбелить не только весь зубной ряд, но и отдельные зубы или участки. Данная система также применяется для отбеливания депульпированных зубов.
Отбеливание зубов методом Opalescence Boost - абсолютно безопасная и комфортная процедура. В отличие от других методов, на зуб нет теплового и светового воздействия, отсутствует возможность перегрева тканей и пульпы.
отбеливания зубов,
который дает потряса-
ющий результат уже
после первого сеанса
отбелиания!
Стоматолог-терапевт
стаж более 5 лет
консультацию и диагностику
прямо сейчас